As a family and cosmetic dentistry practice in Midlothian, we offer services to suit every age and every family. The Weiler famliy’s story illustrates this and serves as an example of how family, cosmetic, and emergency dentistry can all go hand-in-hand.
Contents
The Incident
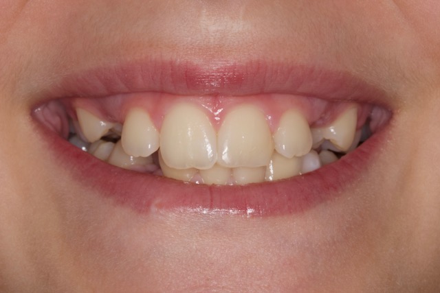
Following a distressing fall that led to a severely chipped front tooth, one of our long-time patients reached out to us for help. The urgency of the situation was clear – her grandson, Collin, had fallen and badly chipped his permanent front tooth. The Cedarwood Dentistry team was quick to respond, getting Collin into our office for treatment that same day.
Cedarwood Dentistry’s Emergency Response
Understanding the importance of swift action in dental emergencies, especially for young patients, we were able to schedule Collin to see Dr. Wolberg within a few hours of his fall. Our goal was not only to address the immediate cosmetic concern but also to ensure that Collin’s overall oral health was not compromised and to put him and his family at ease.
Family Involvement in the Treatment Process
Involving the family in the treatment process, especially in pediatric cases, is a cornerstone of our practice. Collin’s grandmother, a primary caretaker, was actively involved in each step, providing valuable input on the aesthetics of the restoration. This collaborative approach helps us ensure that the end result meets the family’s expectations as well as the patient’s needs.
Customized Cosmetic Treatment
Because Collin was still in adolescence at the time of his fall, and the missing portion of the tooth was not recovered after the injury, Dr. Wolberg recommended a cosmetic dental filling involving multiple layers of composite filling material. In older patients a veneer may have been recommended but for younger patients, Dr. Wolberg recommends specialized treatments that are better-suited for people that are still growing.
Because the tooth was severely broken, the treatment involved different shades and layers of composite to restore the old shape and match the tooth next to it. Each layer of composite needed a different opacity to land at a filling that looked good next to the adjacent, unharmed teeth. Dr. Wolberg shaved and polished the tooth and adjusted the lower teeth slightly to avoid harming the new filling as Collin bites down.
The Result
Post-treatment, Collin’s recovery was smooth.
“The filling itself really doesn’t hurt, and there’s really no recovery from the filling,” Dr. Wolberg noted, emphasizing the minimal discomfort involved in the procedure.
Months after the treatment, Collin and his family are still happy with the result. His filling looks aesthetically pleasing next to his unharmed teeth and he is able to carry on normal daily activities. Dr. Wolberg does advise patients with this type of treatment to avoid biting into hard foods, but otherwise, the filling functions as a normal tooth would.
How Family and Cosmetic Dentistry go Hand-in-Hand at Cedarwood (and Why That’s Important)
Leading a family and cosmetic dentistry practice, Dr. Wolberg is able to draw on his expertise in cosmetic procedures as well as his familiarity and comfort in providing dental care to kids and teens.
“Being able to see children and talk to children and explain more is what really allows me to do good cosmetic work with kids,” he says.
This ability to blend the nuances of family dentistry with cosmetic expertise sets Cedarwood Dentistry apart from other practices that might not want to see children for cosmetic work.
Reach Out to Cedarwood for Comprehensive Family and Cosmetic Dentistry
At Cedarwood Dentistry, our services range from routine check-ups and cleanings to more complex cosmetic procedures, all under one roof. Our commitment to providing comprehensive dental care makes us a one-stop solution for people of all ages seeking general, cosmetic, or emergency dental services.
Collin’s story ended happily with a restored smile and a family pleased with the results. We believe in providing this type of care for all our patients. If you’re looking for reliable, compassionate, and comprehensive dental care, call Cedarwood today to schedule your appointment!
Share the love!

